康美醫院網站|聯系我們
我院成功開展首例腹腔鏡下前列腺癌根治術
您現在的位置是:康美醫院網站 > 新聞動态 > 醫院動态 > 我院成功開展首例腹腔鏡下前列腺癌根治術

我院成功開展首例腹腔鏡下前列腺癌根治術

發布時間:2019-05-08 閱讀:3335
        近日,我院外一科在國内著名泌尿外科專家單熾昌教授指導下,爲一名前列腺癌患者成功實施腹腔鏡下前列腺癌根治術。術後患者恢複良好,已于4月26日康複出院。

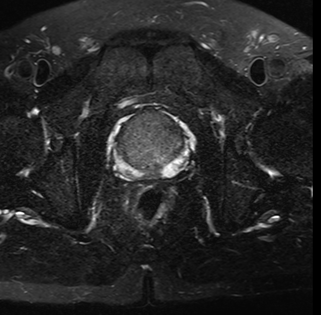
        70歲的患者林大伯,揭西人,因反複的尿頻、尿急及排尿困難要求手術治療收住院。經前列腺特異抗原篩查、前列腺MRI增強掃描,考慮前列腺癌。後經前列腺穿刺活檢術,确診爲高分化前列腺癌。



△前列腺MRI增強掃描


        外一科主任鍾喜廷針對患者的病情,組織科室讨論,認爲患者有手術指征,實施腹腔鏡下前列腺癌根治術爲最佳方案。單熾昌教授認可該治療方案。相比傳統手術,腹腔鏡手術可将人體組織結構進行放大,視野清晰,操作精細,切除病竈及清掃淋巴更加徹底,大大減少手術風險及術後并發症的發生,适合高齡患者。



△在單熾昌教授指導下,我院外一科正爲患者實施腹腔鏡下前列腺癌根治術


        經過充分的術前準備,4月11日上午,在麻醉科、手術室的密切配合下,鍾喜廷主任帶領杜東濤、王海輝主治醫師上台爲林大伯實施手術,單熾昌教授全程給予指導。通過腹部開幾個直徑約0.5-1cm的小孔建立通道,利用先進的腹腔鏡系統,娴熟地進行組織分離、切除、吻合等精細操作,完整切除癌變的前列腺組織,并将膀胱與尿道重新吻合。爲防止癌細胞轉移,術中還對周圍淋巴結進行清掃。術後患者安返病房,2周後康複出院。
        腹腔鏡下前列腺癌根治術是體現醫院泌尿外科綜合實力的高難度手術,對專家的技術水平和硬件設備都有很高要求。本次手術是我院開展的首例腹腔鏡下前列腺癌根治術,标志着我院泌尿外科綜合實力邁上一個新的台階。

醫院地址:廣東省普甯市流沙新河西路38号 郵政編碼:515300 聯系電話:0663-2787777 傳真号碼:0663-2767511

Copyright © 2011 康美醫院. All rights reserved. 京ICP證000000号醫療機構執行許可證:07190114-844528190A1001

普甯宏圖網絡